Se achica pene, medía 25 cm

Un joven de 17 años no podía llevar una vida normal debido al gran tamaño de su miembro. Por ello, decidió recurrir a los cirujanos.
  • martes 17 de febrero de 2015 - 12:00 AM

Sorprendente. Un joven de 17 años no podía llevar una vida normal debido al gran tamaño de su miembro. Por ello, decidió recurrir a los cirujanos para realizarse una reducción y poder tener sexo y participar en eventos deportivos.

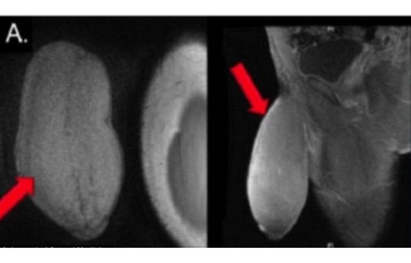
El adolescente había sufrido tres episodios de priapismo -una erección involuntaria-, que habían provocado una deformidad morfológica de su falo, dejándolo hinchado y deforme como un balón de rugby.

Según los médicos, en relajación, el miembro tenía una circunferencia de 25 centímetros (cm) parecido a un balón de fútbol americano. Luego de realizarle la operación el adolescente pasó dos días en el hospital y aunque los médicos no tomaron medidas del nuevo pene, el doctor Carrion aseguró que el joven se recupera favorablemente.